Products
Deep Insights™
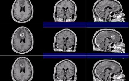
Deep Insights (DI)platform consists of robust algorithms and tools for medical image analysis, pattern recognition, and automated diagnosis. DI is a secure vendor neutral platform using Advanced Deep Learning Engine (ADLE) to gather insights from DICOM image data.

